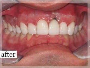
Smile Makeover

Case ID: 6068

Individual results may vary.

Other Smile Makeover Patients

Schedule A Virtual Consultation

FILL OUT THE FORM OR CALL US

WHAT HAPPENS IN A VIRTUAL CONSULTATION?

1. Meet the Safarian Dental Team.
2. Discuss your chief concerns and goals. 
3. Learn about your options and solutions.

“When I sat in the chair I was immediately comfortable. I am so pleased. Dr. Safarian is fantastic.”

–Kim, Actual Patient*

HOW MAY WE HELP?

Accessibility Toolbar