View Angle: front
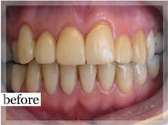
Before
After
View Angle: front
Before
After
View Angle: front
Before
After
